Дайджесты

Элайнеры в Красноярске

Элайнеры для выравнивания зубов цена Красноярск

Неправильный прикус — распространенная проблема, которая вызывает не только эстетический дискомфорт, но и функциональные нарушения. Боли в челюсти, проблемы с жеванием, повышенная утомляемость мышц — это симптомы, с которыми сталкиваются многие жители Красноярска. В этой статье мы разберем причины и показания к коррекции, варианты терапии и, конечно, элайнеры для выравнивания зубов: цена в Красноярске, механизм действия и ожидаемые результаты.

Элайнеры для выравнивания зубов цена Красноярск

Цена элайнеров для выравнивания зубов в Красноярске варьируется от 80 000 до 500 000 рублей, в зависимости от степени дефекта и объема лечения. Для легких случаев стоимость начинается от 80 000–140 000 рублей, средние патологии — 150 000–250 000 рублей, сложные — превышают 250 000 рублей. Уточняйте в клинике, так как в расчет берутся диагностика, количество кап и дополнительные визиты.

Когда стоит обратиться к ортодонту

Обратитесь к специалисту, если заметили асимметрию зубов, дискомфорт при жевании или речь с дефектами. Раннее вмешательство предотвращает осложнения, такие как пародонтит или стирание эмали. В Красноярске многие клиники предлагают первичную консультацию для оценки ситуации.

Показания и противопоказания к коррекции прикуса ⚠️

Показания включают скученность зубов, открытый прикус или дистальный, когда зубы не смыкаются правильно. Это приводит к травмам слизистой и проблемам с ЖКТ. Противопоказания: активные воспаления десен, тяжелые заболевания сердца или аллергия на материалы — определяет врач после осмотра.

Цена элайнеров в Красноярске

элайнеры для выравнивания зубов цена красноярск

В Красноярске цена на элайнеры зависит от клиники и плана лечения. Диапазон 50 000–500 000 рублей охватывает большинство случаев, с возможностью рассрочки. Для точной оценки пройдите диагностику — это поможет избежать переплат.

Для точной диагностики в Красноярске запишитесь онлайн в Сапфир, где консультация бесплатна.

Диагностика перед установкой элайнеров

Диагностика включает осмотр, рентген и 3D-сканирование челюсти. Врач анализирует модель прикуса, выявляет степень аномалии и составляет план. Процесс занимает 1–2 визита, без боли или вмешательств.

Варианты терапии для выравнивания зубов ️

Среди вариантов — брекеты и съемные капы (элайнеры). Брекеты фиксированные, подходят для сложных дефектов, но видимы. Элайнеры — прозрачные, снимаемые, для легких и средних случаев.

Сравнение элайнеров и брекетов

  • Элайнеры: Невидимы, удобны для гигиены, лечение 6–18 месяцев, цена 80 000–500 000 руб.;
  • Брекеты: Фиксированы, эффективны для тяжелых случаев, 12–24 месяца, 50 000–370 000 руб.;
  • Общее: Оба метода дают стабильный результат, но элайнеры комфортнее для взрослых.

Центр стоматологии «Сапфир» в Красноярске — это современная клиника с опытом более 10 лет, где предлагают ортодонтию, имплантацию, терапию и детскую стоматологию. Расположенная по адресу ул. Краснодарская, 10А, клиника работает ежедневно с 9:00 до 21:00. Команда специалистов с индивидуальным подходом уже помогла свыше 2300 пациентам, гарантируя качество и комфорт.

Механизм действия и ожидаемые эффекты ⚙️

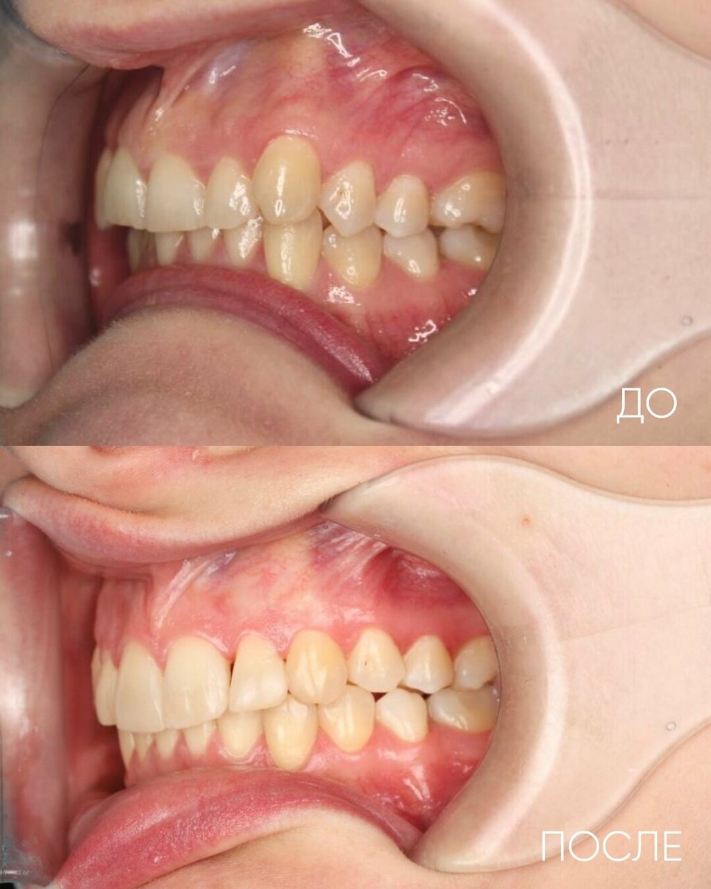
Элайнеры работают постепенно: каждая пара кап создает давление на зубы, перемещая их в целевое положение. Механизм основан на биомеханике — зубы адаптируются за 1–2 недели. Эффекты: ровная улыбка, улучшение прикуса, профилактика осложнений. Результаты видны через 3–6 месяцев, полный — через 6–24 месяца по показаниям врача.

Подготовка к установке элайнеров

Подготовка включает санацию полости рта: лечение кариеса, профессиональную гигиену. Врач проводит диагностику, объясняет план. Рекомендуется воздержаться от курения за неделю до.

Чек-лист подготовки к терапии ✅

  • Пройдите осмотр и рентген;
  • Сделайте гигиену (стоимость 3500–5000 руб.);
  • Обсудите противопоказания;
  • Подготовьте вопросы о плане и цене;
  • Выберите удобное время визитов (ежедневно 9-21).

Анестезия и комфорт пациента

Установка элайнеров безболезненна, анестезия не требуется. При подготовке (гигиена) возможна местная анестезия. Для чувствительных пациентов доступна общая с анестезиологом, обеспечивая максимальный комфорт.

Этапы процедуры коррекции прикуса

  1. 1️⃣ Консультация и диагностика (бесплатно);
  2. 2️⃣ Изготовление кап (по слепкам или 3D);
  3. 3️⃣ Установка первого набора, инструктаж (ношение 20–22 ч/сутки);
  4. 4️⃣ Визиты каждые 1–2 месяца для замены и контроля;
  5. 5️⃣ Ретенция — фиксация результата 6–12 месяцев.

Длительность 6–24 месяца, в зависимости от случая.

В сравнении с другими клиниками Красноярска, «Сапфир» выделяется комплексным подходом: от диагностики до реабилитации, с гарантией качества и удобной записью. Здесь применяют современные методы, обеспечивая точность и минимальный дискомфорт, без скрытых платежей. Пациенты ценят профессионализм и рассрочку от 8000 рублей в месяц.

Реабилитация и восстановление

Реабилитация минимальна: в первые дни возможен дискомфорт, проходит за неделю. Соблюдайте гигиену, носите капы по графику. Визиты помогают мониторить прогресс, предотвращая осложнения.

Чего не стоит делать после установки

  • Не снимайте капы дольше 2–4 часов в день;
  • Не ешьте твердую/липкую пищу без снятия;
  • Не игнорируйте боль — обратитесь к врачу;
  • Не пропускайте визиты, чтобы не затянуть лечение;
  • Не корректируйте капы самостоятельно.

Ожидаемые эффекты и результаты ✨

Эффекты: выравнивание зубов, нормализация прикуса, улучшение эстетики. Результаты стабильны при соблюдении ретенции, с профилактикой рецидивов. Большинство пациентов отмечают комфорт и быстрый прогресс.

Стоимость и что входит в лечение

Стоимость 80 000–500 000 рублей включает диагностику, изготовление кап, визиты. Что входит: план лечения, набор кап, контроль. Что не входит: санация, ретенция — уточняйте. Возможна рассрочка от 8000 рублей в месяц.

Профилактика проблем с прикусом ️

Профилактика: регулярные осмотры 2 раза в год, гигиена, отказ от вредных привычек. Для детей ранняя коррекция предотвращает осложнения.

FAQ ❓

Что такое элайнеры?
Съемные прозрачные капы для постепенного выравнивания зубов.
Кому показаны элайнеры?
Легким и средним дефектам прикуса у взрослых и подростков.
Есть ли противопоказания?
Да, воспаления десен, тяжелые системные заболевания — по решению врача.
Сколько длится лечение?
6–24 месяца, в зависимости от сложности.
Больно ли носить элайнеры?
Легкий дискомфорт в начале, проходит быстро.
Как оплачивать?
Рассрочка от 8000 рублей/месяц, налоговый вычет возможен.
Где в Красноярске установить элайнеры?
В специализированных клиниках с ортодонтами.

— Автор: Поляков Роман Анатольевич, Врач стоматолог-ортопед, Генеральный директор клиники Сапфир, стаж 17 лет, Красноярск.
Дисклеймер: материалы носят информационный характер и не заменяют консультацию врача. Цены — ориентировочные; уточняйте на сайте/в клинике.

Article Poster
Комментарии к этому дайджесту отключены
Экстренное объявление